Зуботехнічна лабораторія Авторлаб
Avtorlab — зуботехнічна лабораторія в Дніпрі. Виготовляємо естетичні та функціональні реставрації: від вінірів до повних дуг для клінік і лабораторій по всій Україні.
Стабільні терміниКонтроль якостіПідтримка лікаря100% цифровий протокол
QC • Цифровий протокол
Процес роботи
- Сканування / відбитки
- Дизайн / погодження
- Фрезерування / контроль якості
- Доставка / підтримка
Контакти
+38 (073) 000-66-99
avtorlab1@gmail.com
Dnipro, Ukraine
Послуги
Працюємо у цифровому та класичному протоколі. Підбираємо матеріали під задачу та бюджет.












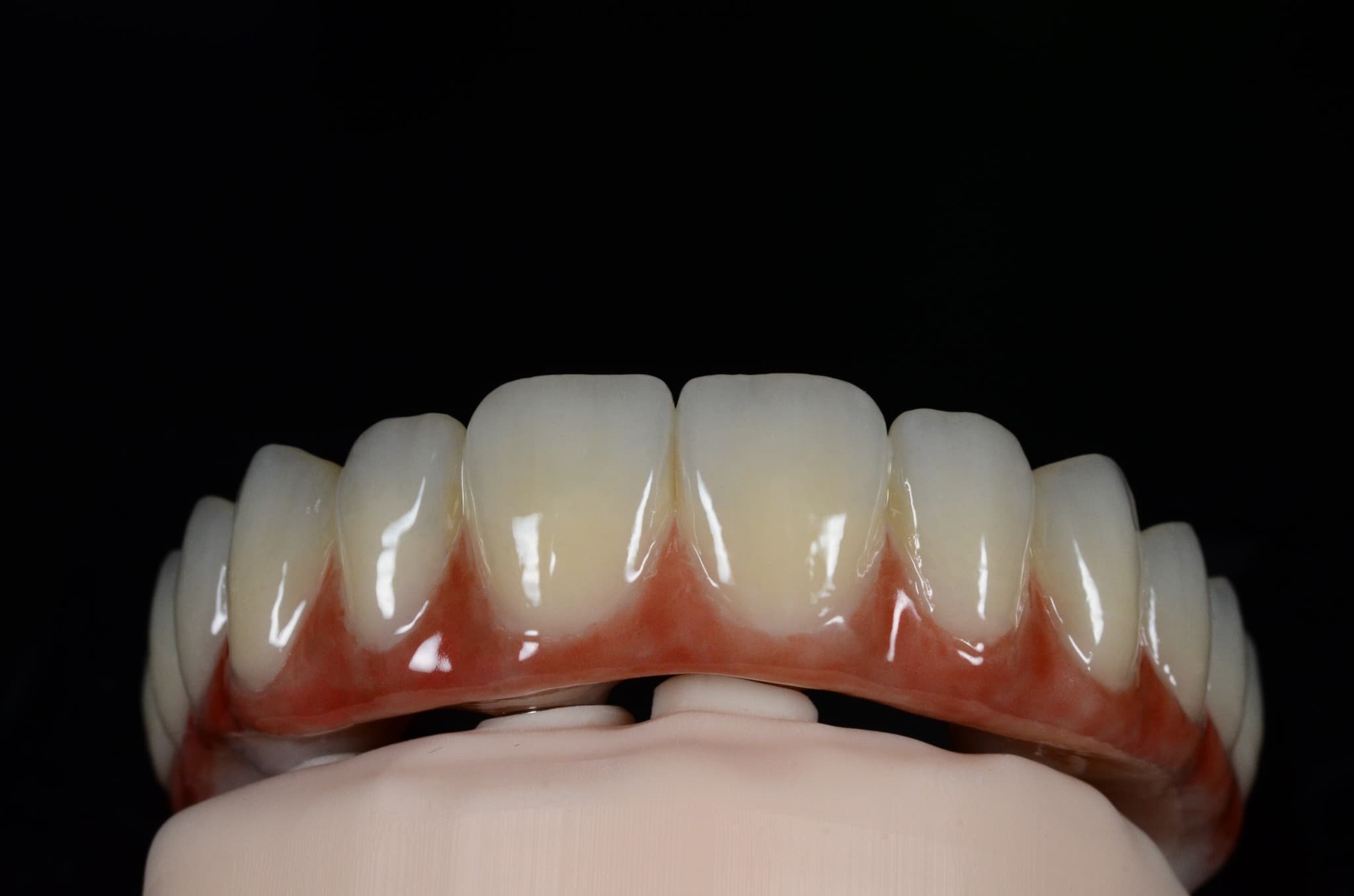
Вініри та накладки
Естетика, натуральна анатомія, контроль кольору та прозорості.
Цирконієві коронки
Міцність, точність посадки, стабільна оклюзія.
Тотальне протезування
Повні дуги, реабілітації, протоколи під імплантацію.
Титанові балки
Індивідуальні конструкції, точне фрезерування, контроль пасивності.
Оклюзійні капи
Захист, стабілізація, контроль висоти та комфорту.
Фрезерний центр
Фрезерування STL/Exocad: цирконій, PMMA, титан (за ТЗ).
Партнерам
Підключаємо клініки та лабораторії: прозорі умови, комунікація, контроль якості.
Партнерам
- Персональний менеджер та швидкий зворотний зв’язок
- Стабільні терміни та трекінг етапів
- Технічні рекомендації та підтримка лікаря
- Файли/скани: Exocad, 3Shape, STL
Контроль якості на кожному етапі
Посадка та прилягання
Оклюзія та контакти
Товщина та межі
Фінішна обробка
Навчання та підтримка
Ділимось протоколами, розбираємо складні кейси, допомагаємо з цифровим потоком.
Міні-лекції для лікарів
Матеріали, преп, цементація, комунікація лабораторія–клініка.
Цифрові воркфлоу
Скан, дизайн, техвимоги, перевірка посадки та оклюзії.
Супровід складних кейсів
Планування, контроль естетики, тимчасові рішення, прототипування.
Калькулятор термінів
Оцініть орієнтовний термін виробництва. Фактичний термін залежить від складності та логістики.
Тип роботи
Орієнтовно:
5 днів
* logistics not included
FAQ
Відповіді на часті питання.
Які формати файлів ви приймаєте?
STL, PLY (за домовленістю), Exocad-проєкти. Найкраще — STL з коректними межами та оклюзією.
Чи працюєте ви з доставкою по Україні?
Чи можна отримати примірку/прототип?
Про Avtor Lab
Поєднуємо естетику, точність і контроль якості на кожному етапі.
20+ років
стаж роботи
100%
цифрові протоколи
Контроль
якості на кожному етапі
Фрезерний центр
послуги та підтримка
Блог
Короткі нотатки про матеріали, протоколи та комунікацію лабораторія–клініка.
Digital
Як підготувати STL для фрезерування
Межі, оклюзія, товщина, експорт і перевірка — без зайвих переробок.
Materials
Цирконій: міцність vs естетика
Коли обирати багатошаровий цирконій, а коли — облицювання.
Workflow
Повна дуга: що важливо в комунікації
Дані, фото, прикус, вертикаль, тимчасові — щоб зменшити переробки.
Контакти
Напишіть нам — підкажемо протокол, прорахуємо вартість та терміни.
Ми на мапі
Контакти
+38 (073) 000-66-99
avtorlab1@gmail.com
